Quantification of Uncertainties in Biomedical Image Quantification Challenge 2020

If you use QUBIQ dataset, please be kind to cite: https://www.arxiv.org/abs/2405.18435

For 2021 edition, please visit: https://qubiq21.grand-challenge.org/ 

what?

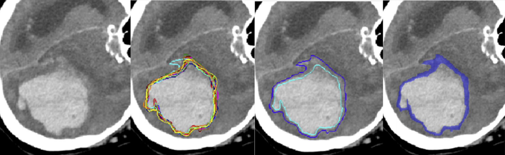
The QUBIQ challenge deals with benchmarking algorithms that quantify uncertainties in biomedical image segmentation. Participants will work on binary segmentation tasks, all of which with multiple annotations from domain experts. To be segmented are various pathologies and anatomical structures, such as brain, kidney, or prostate, in MR or CT image data. A successful algorithm will be able to segment these structures, and to reproduce the distribution of the experts’ annotations.

where?

The QUBIQ challenge is a satellite event of the 23rd International Conference on Medical Image Computing and Computer-Assisted Intervention (MICCAI).

when?

The challenge workshop will take place as a virtual event on Oct. 8th, 2020.

Please check poster/method description and videos presented in the challenge session at MICCAI 2020